HE(Hematoxylin and Eosin)染色是组织学与病理学中最常用的基础染色方法,用于展示组织的整体结构与细胞形态

HE染色有两个主要染料:
苏木精(Hematoxylin) → 碱性染料
能与细胞核中的 DNA、RNA 结合 → 把核染成 蓝紫色。伊红(Eosin) → 酸性染料
能与细胞质蛋白、胶原纤维、红细胞结合 → 把胞质染成 粉红色或红色。
通过二者的对比染色,HE切片可清晰显示组织结构层次与病理变化,是评估组织坏死、炎症及纤维化等病理过程的基础手段。
但怎样把肉眼观察到的特征,在图像上分割出来,并进一步定量分析,依然是一大难题。
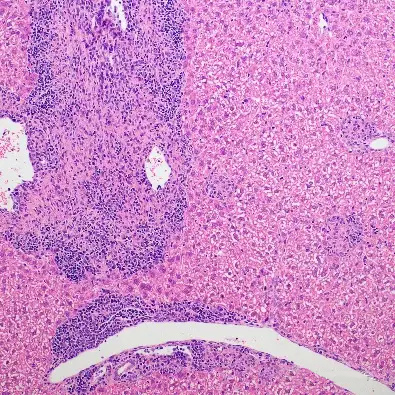
在正常组织中:
细胞核应清晰呈蓝色,细胞质呈粉色。
但例如下面这种图像:

我们会观察到一些区域有密集的蓝染小圆核细胞,这些区域聚集了大量炎症细胞(淋巴细胞、巨噬细胞),属于炎症浸润的区域。
这篇文章会介绍怎样利用ImageJ提取这些区域的面积,以及空腔的面积,从而得到炎症浸润的比例。
一、分割核染区域1、提取染蓝的通道(Image -> Color -> Color Deconvolution)

Vectors选择H&E,从而得到分离的Hematoxylin channel (Color_1)和Eosin channel (Color_2):

2、形态学滤波(Plugins -> MorpholibJ -> Filtering -> Morphological Filters)
分离得到的Hematoxylin channel 中不仅有炎症细胞的细胞核,还有正常细胞的细胞核。
其中炎症细胞较为聚集,所以可以利用这一特征来区分炎症细胞与正常细胞。
我们可以通过形态学滤波(Morphological filtering),来让聚集区域连接成片。
形态学滤波有以下几种形式:

这里我们为了保留大的目标区域(炎症浸润区域),去掉小的分散信号(正常细胞),选择开运算(Opening)。
开运算由先腐蚀(Erosion)后膨胀(Dilation)组成,可有效去除小面积噪点与孤立亮斑,同时保持较大目标区域(如炎症浸润区)的形态结构。


3、分割细胞核(Image -> Adjust -> Threshold)
得到形态学滤波后的图像,可以直接进行Threshold,选中细胞核所在的区域。
设置好阈值后Apply,生成二值化的图像:

4、提取目标区域(Analyze -> Analyze Particles)
分割得到的细胞核区域包含了:炎症浸润区域(面积大),以及正常细胞(面积小)。
所以我们可以通过面积,来仅仅保留面积较大的区域。
关于保留多大面积的物体,需要不同图像具体分析,这里只选择保留大于20000个Pixel的区域:

最终得到的区域以及在原图上的展示:

得到的炎症浸润总面积:

二、分割空腔
1、二值化空腔区域(Image -> Adjust -> Threshold)
在获取炎症浸润面积占比时,分母应该是整张图像的面积,减去空腔的面积。
空腔可以利用Eosin channel (Color_2)进行分割:

二值化后,可以Process -> Binary -> Fill holes填补空腔中的孔隙。
2、去除Noise,仅保留空腔区域(Analyze -> Analyze Particles)
同上,可以通过Opening操作去噪,保留大的物体:

然后面积仅保留空腔:

最终得到空腔面积:

实验外包 想了解更多请关注:https://www.do-gene.com



